Our Before and After Results

Before and After Results

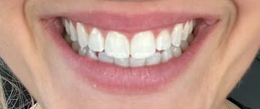
Full Smile Makeover
Dental Implants, Crowns and Porcelain Veneers
Porcelain Veneers and Crowns
Teeth Whitening, Crowns and Porcelain Veneers
Porcelain Veneers
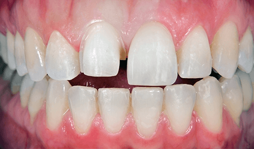
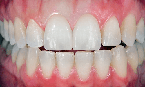
Porcelain Veneer
Porcelain Veneers and Teeth Whitening

Cosmetic Before and After Results

Cosmetic Before and After Results

Veneers

Crowns

Full Upper and Lower Veneers

Front Crown

Bridges & Crowns Specifics

6-7-8-9 Crows Bridge 3-4-5 Bridge 10-11-12-14

Smile Makeover

Teeth Bleaching

Teeth Bleaching

What our patients have to say...