Cosmetic Dentistry
In our practice, our specialty is cosmetic & implant dentistry. This is where we get to help our patients make their smiles more pleasing to themselves and others around them. It is so rewarding for us when we help a patient go home with the lovely, bright smile they have been wishing for. Some patients experience such a boost in their self-confidence and enjoyment of life from this enhancement. They no longer try to hide their teeth when smiling, talking or eating.
What is Cosmetic Dentistry?
Cosmetic dentistry is a science and art dedicated to improving the look of your smile. Cosmetic dentistry offers elective services and treatments that improve the aesthetics of your smile. Traditional dentistry is focused on the health of your gums and teeth. Cosmetic dentistry can alter the color, size, alignment, or shape of your teeth or fix issues with gum contours. The goal is to create a balanced and symmetrical smile. Cosmetic dentistry procedures can improve your appearance, but also your self-confidence and social interaction. They contribute to your quality of life.
Here’s some of the cosmetic dentistry treatments we offer:

Veneers:
Porcelain veneers are thin, durable shells that adhere to the front of your teeth. They offer a fast and striking improvement to your smile as they are capable of correcting a number of flaws. Are there chips or cracks in your teeth? Severe discoloration? Are some of your teeth misshapen or are there gaps between your teeth? In just a few weeks, you can have a complete makeover of your smile with veneers. Even moderate misalignment of teeth can be corrected. Find out if you are a candidate for a fast smile makeover with porcelain veneers.
Home Tips for a Whiter, Healthier, and Naturally Whiter Smile
It's not just about going to the dentist. You also need to take care of your teeth at home. Here are some practical tips for improving the health and appearance of your teeth.
Keep Good Oral Hygiene
- Brush Twice a Day: Use fluoride toothpaste and a soft-bristled brush to brush your teeth twice daily for at least two minutes. This will remove plaque and help prevent tooth decay.
- Daily Flossing: It is important to floss daily in order to remove food particles and plaque between teeth and below the gumline. This is an area where a toothbrush cannot reach.
- Use Mouthwash: Using an antibacterial oral rinse can reduce bacteria and plaque while keeping your gums healthy.
Watch What You Eat and Drink
- Avoid Staining Foods and Beverages: Red wine, coffee, tea, beets, chocolate, and dark sodas may stain your teeth. You should consume these in moderation, rinse your mouth with water afterward, and brush your teeth after when you have a chance to avoid staining.
- Avoid Acidic Foods and Sugar: Acidic foods and sugar encourage the growth of bacteria which causes plaque and caries. Acidic foods may wear away tooth enamel. These foods can damage your teeth.
Adopt Healthy Habits
- Stop Smoking: Smoking can cause teeth to yellow and damage gums. It also affects your overall oral health.
- Drink Plenty of Water: Water is good for washing away bacteria and food particles. It can also dilute the acids produced by bacteria.
- Use Sugar-Free Gum: Chewing sugar-free gum increases salivation, which helps to naturally clean the mouth by removing particles that cause decay and staining.
Regular Dental Check-ups
- Regular Check-ups: Even if you take good care of your teeth at home, it is important to schedule regular visits for professional cleanings and check-ups.
Follow these tips to keep your smile bright, healthy, and white. A beautiful smile begins with good dental health. Prioritizing these practices can benefit your appearance and the health of your gums and teeth.
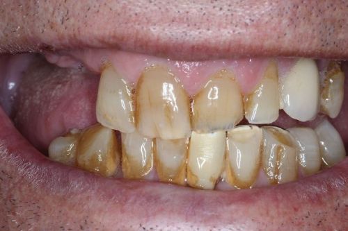
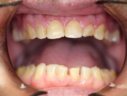
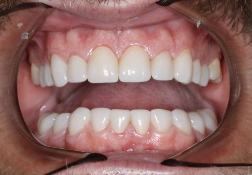
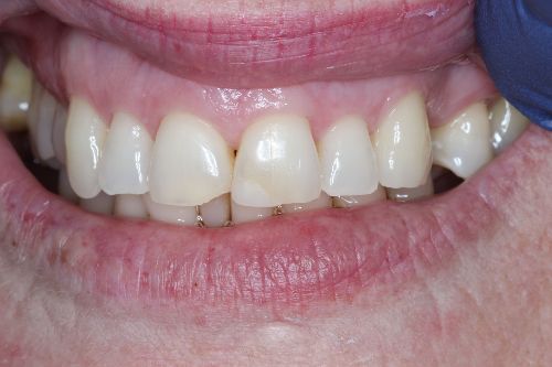
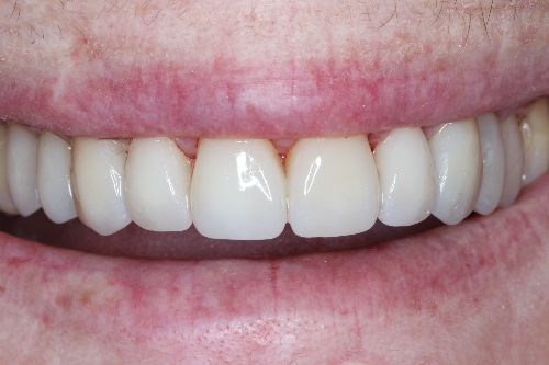
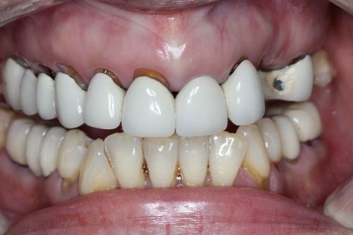
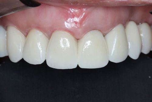
Our Before and After Results
Why Choose Dr. Rosado & Associates Cosmetic Dentistry?
Book Your Cosmetic Consultation
Contact Dr. Rosado & Associates to set up your cosmetic consultation today. Our team will guide you through the options available to you and ensure you receive a personalized treatment plan that meets your aesthetic needs.
Call our office at
(305) 563-5190 and let’s get your beautiful smile started.















